萩原歯科医院 池袋の歯医者 インプラント、矯正、審美の専門医

インプラント大人の治療子供の治療当院の特徴無料相談

歯を失った方へ入れ歯が気になる方へ虫歯が気になる方へ治療費が気になる方へ先生を知りたい方へ場所が気になる方へ雰囲気が気になる方へ診療の流れについて無料相談予約はこちらへ歯科衛生士さん募集
サイトマップ

入れ歯の悩みを考える不安の少ないインプラントまだ間に合う歯周病治療入れ歯+インプラントという治療法萩原歯科医院ブログ


萩原歯科医院

【診療時間】
  
9:00 〜 13:00
14:30 〜 18:00

【休診日】

木曜日 日曜・祝祭日

【電話番号】

0120−185−255
03−3981−1427

 

小児矯正 お子様の歯並びの矯正とは 萩原歯科医院
矯正治療TOPページへ
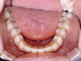
小児矯正の治療例
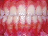
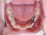
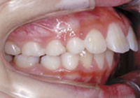
症例1:乱ぐい歯「歯並びが乱れている」
治療前
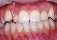
治療後
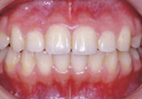
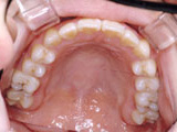
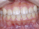
症例2:乱ぐい歯「歯並びが乱れている」
治療前 治療後
症例3:反対咬合(受け口)
 
治療前 治療途中 治療後
症例4:上顎前突(出っ歯)
治療前  
治療後  
 
治療前  
治療後  
 
前のページ
 
矯正治療TOPページへ

▲このページのトップへ
     
 
小児矯正とは 小児矯正の利点
歯並び治療開始の時期 小児矯正の手順
歯並び治療のあらまし 小児矯正の装置
治療期間 小児矯正の治療費
虫歯対策 小児矯正の治療例
きれいな歯並びを保つには    
 
Q&A 成人矯正

【トップ】 | インプラント、矯正、審美の事なら東京の「萩原歯科医院」 |
【インプラント】 | インプラント治療について | インプラントとは | インプラント治療の成功 |
| 治療のQ&A、疑問 | インプラント治療の症例 | インプラントのメリット |
| インプラントの体験談インプラントの治療費
【入れ歯】 | 患者さんが満足できる入れ歯 | 入れ歯の価格・治療費| 部分入れ歯(部分義歯) | 総入れ歯(総義歯) |残された歯を守るために | 部分入れ歯で悩む原因 | 入れ歯の種類 || 入れ歯の症例
【大人の治療】 | 審美歯科| 虫歯治療の新しい考え方 | 健康を守り育てる診療所 |
| 予防プログラム | 定期健診(メンテナンス) | 成人の矯正治療 | 歯周病治療
| かみ合わせ治療肩こりと腰痛治療
【子供の治療】 | 小児歯科| 虫歯治療の新しい考え方 | 健康を守り育てる診療所 |
| 子供の矯正治療 | 幼児・園児のための予防プログラム |
| 小学生のための予防プログラム | 子供の集中力を高める
【虫歯】 | 『虫歯治療の新しい考え方』池袋の萩原歯科医院 |
【各種治療費】 | インプラント・矯正・審美の治療費用について |
【萩原歯科医院の特徴】 | 萩原歯科医院内の様子 |