|
歯周病は、歯を支えている骨が次第に溶けて最終的には歯が抜けてしまう病気です。痛みが無く進行するために歯科医院を受診するきっかけをつかめず、手遅れになってお困りの方が大勢いらっしゃいます。
原因は

であることがはっきりしているため、それらの改善で発生の予防や進行防止が確実に得られる病気でもあります。
当院では、まず歯科ドックで患者さんご自身の歯周病の進行状況を把握した上で、歯周病改善のための最良の治療計画を立てます。原因となっているものを改善してお口の健康を取り戻した後、定期検診(メインテナンス)によってそれを維持していくようにします。
家庭でのお手入れも治療の成功の大きな鍵であることから、患者さんとともに検査結果 を確認しながら原因となっているものを改善し、お口の健康を取り戻していきます。
治療後の定期検診(メインテナンス)により、一生ご自身の歯で食事が出来ることを目的としておりますので、担当の衛生士を決めてきめ細かなケアをしていくようにしています。
歯周病の進み方
健康な歯周組織
歯周炎
歯肉ポケット 2〜6mm
歯肉溝にプラーク(歯垢)がたまり、歯肉が炎症ではれて、歯肉ポケットになりました。まだ歯根膜や歯槽骨は破壊されていません。
軽度歯周炎
歯肉ポケット 3〜5mm
歯肉のはれが大きくなり、歯周病菌が歯周組織に侵入し、歯槽骨や歯根膜も破壊されはじめました。ポケットが内部に向かって深くなり、歯周ポケットになっています。プラーク(歯垢)や歯石が歯周ポケットにたまっています。
中等度歯周炎
歯肉ポケット 4〜7mm
炎症がさらに拡大して歯槽骨も歯の根の長さの半分近くまで破壊され、歯がぐらつきはじめました。歯周ポケットもさらに深くなっています。
重度歯周炎
歯周ポケット 6mm以上
歯槽骨が半分以上破壊され、歯はグラグラです。
引用文献-----「歯周病をなおそう」(砂書房 鴨井久一編著 沼部幸博著)
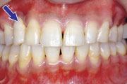
症例1
40歳男性です。主訴は「歯並びを治したい」でしたが、写真のように明らかに歯肉が腫れています。検査の結果、初期の歯周病でした。歯周病治療後矯正治療を行い、欠損していた右上の犬歯はインプラントで補いました。このような場合、歯周病治療をせずに矯正治療を行うと、歯を動かした時にそれを支える骨がなくなり、「きれいに並んだけれど歯はグラグラ」という状態になってしまいます。矯正だけに目を向けるのではなく、お口全体を1つのものととらえ、最も必要なのは治療からすすめていくことが何よりも大切です。
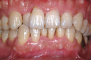
症例2
45歳女性です。奥歯のかぶせ物がはずれたため来院されました。歯肉の腫れが顕著ですし、
前歯の審美性も損なわれています。お口全体を精密に検査をし、綿密な計画を立てて、歯周病治療を行いながら、前歯、奥歯ともに審美的な修復治療をしました。
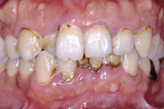
症例3
43歳女性です。前歯の虫歯治療を希望して来院されました。歯肉の腫れが著しく、ブラッシング時には必ず出血するとのことでした。精密検査をして治療計画を立案した上で、患者さんの希望を伺い最終的な方針を決定し、歯周病治療と審美的歯周病治療をせずに、審美治療だけを行うと、将来治したはずの歯がグラグラしたり、歯茎が下がって、美しくかぶせたはずのセラミック冠の根元が見えてくるほどの不都合が生じてきます。
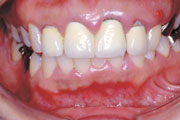
症例4
45歳男性です。奥歯の詰め物がはずれて来院されました。明らかに歯肉が腫れています。
精密検査を勧め、ご了解いただいた上で検査をして治療に入りました。右の写真は治療開始2ヵ月後です。
|