部分入れ歯(部分義歯)で悩みをかかえておられる方がたくさんいらっしゃいますが、
ほとんどの悩みの原因は以下の2つと考えられます。 |
 |
 |
 |
| |
症例1
 |
 |
40代 女性
上顎、下顎ともに、15年ほど前から歯周病がひどくなり、歯を2本抜いた時から、部分入れ歯を使うようになりました。
その後、針金のかかっている歯がグラグラし、一本、一本と歯を抜くことになりました。
今までの歯科医院では、歯を残すことにあまり積極的ではありませんでした。
患者さんご自身も歯を抜くことに、あまり反対もせずに今まできてしまいました。
現在、上顎はぐらぐらの歯が2本、下顎も、歯周病にかかっている、前歯6本だけになりました。
いよいよ、上顎、下顎ともに、残りの歯を抜いて、総入れ歯にするしかないと、言われましたが、40代で、上下、総入れ歯と思うと、いたたまれなくなり、当院を受診しました。
| ■患者さんのご希望 |
残っている歯を一本でも残したい。 |
| ■対策 |
残っている歯を保存するための処置を行う
−歯を失った原因を徹底的に診査する。
−(虫歯か、歯周病か、入れ歯の設計に問題があるのか?)
−虫歯や歯周病の治療と、予防処置を行う
−残っている歯を連結するなどの補強処置をする。
−患者さんに日常のお手入れの説明をし、実際のやり方をともに練習する
入れ歯の基本的な設計を見直す
−物理的に、残っている歯に対して悪い力がかからないような設計する。
−噛んだ時、入れ歯がたわまないような強度を与える。
−かみ合わせを整える |
  


| 治療とその後 |
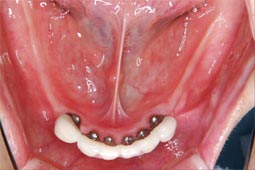
上顎は、図に説明したように、マグネット(高性能磁石)を使って、残った歯の保存と、入れ歯の安定を図っています。
下顎は、残っている前歯を連結して、補強しました。
入れ歯にかかる力が、歯を傷めることがないように入れ歯を設計し、十分な強度を持たせるために、金属の骨組みを採用しました。
さらに、将来的に下顎の歯を失うことになっても、簡単に修理ができるような形に設計をしておきました。
こうした、長期的な見通しは、患者さんの負担軽減のためにも必要なことです。
この入れ歯を作ってから5年経ちますが、定期的な検診と患者さんご自身のお手入れがきちんとなされ、入れ歯も残った歯も健康な状態です。 |
|
|
|
 |
 |
 |
|
 |
 |
 |
| |
症例2
 |
 |
50代 女性
ご主人が入院され、病院では、処置によっては、取り外し式の入れ歯は外さなければならないことを知りました。
入れ歯を外したご主人の顔を見るにつけ、自分の取り外し式の部分入れ歯を、何とかして外れない形のものにしたいと、強く希望されて、来院されました。
今の入れ歯での食事、会話などに特に不満は持っていません。
| ■患者さんのご希望 |
入院しても外さなくていい入れ歯に変えたい。 |
| ■対策 |
ブリッジ(橋義歯)、または、インプラント義歯を設計する。
残っている歯の状態、場所、数によってブリッジ(橋義歯)とインプラントを併用することも考える。 |

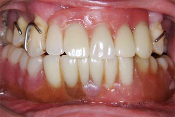
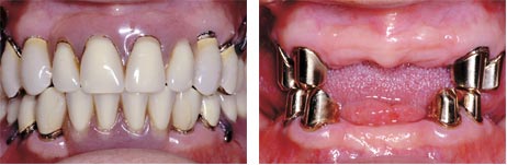
【今までの、保険の入れ歯 針金式のばねが使われている。】

【入れ歯を外したところ】


| 治療とその後 |
残っている歯の数、場所、状態がよかったので、上顎全部の歯を一まとまりにしたブリッジ(橋義歯)にしました。
この形なら、たとえ手術になっても、外すことはありません。
患者さんもとても安心され、ご自身でも明るくなったと、感じられるそうです。
この状態が続くように、定期的なメンテナンスと、ご自宅での毎日のお手入れに気を配っていらっしゃるようです。 |
|
|
|
 |
 |
 |
|
 |
 |
 |
| |
症例3
 |
 |
70代 女性
上下とも部分入れ歯を使っています。
食事、会話での大きな不満はありませんでしたが、趣味で通っているシャンソン教室の発表会の時は入れ歯の針金がライトに光り、毎年、人知れず、悩んでいました。
ばねが弱くなると、外れるのではないかとの心配も、頭のどこかにいつもあります。
若いときには、友達との旅行が大好きでしたが、入れ歯になってから、なんとなく旅行への積極性もなくなってきました。
| ■患者さんのご希望 |
入れ歯であることが他の人に分からない形にして欲しい。
ばねを気にせず、思い切り大きな口をあけてシャンソンを歌いたい。 |
| ■対策 |
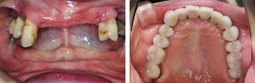
ばねを使わない入れ歯の設計をする。
いくつかの特殊装置の中で、ピンク色の部分ができるだけ小さくできることを考える。
しっかりとした力で、お口の中に維持される特殊装置(コーヌス義歯)を使う。 |

| 治療とその後 |
義歯をはずすのが、大変なほど、しっかりと装着されています。
大きくお口を開けて歌っても、ばねが無いため、入れ歯であることが他の人にわかりません。
患者さんは、発表会で、気持ちよく歌うことができたと、喜んでいらっしゃいました。 |
|
|
|
 |
 |
 |
|
| |
| ▲ページTOPへ |