萩原歯科医院 池袋の歯医者 インプラント、矯正、審美の専門医

インプラント大人の治療子供の治療当院の特徴無料相談

歯を失った方へ入れ歯が気になる方へ虫歯が気になる方へ治療費が気になる方へ先生を知りたい方へ場所が気になる方へ雰囲気が気になる方へ診療の流れについて無料相談予約はこちらへ サイトマップ

入れ歯の悩みを考える不安の少ないインプラントまだ間に合う歯周病治療入れ歯+インプラントという治療法萩原歯科医院ブログ


萩原歯科医院

【診療時間】
  
9:00 〜 13:00
14:30 〜 18:00

【休診日】

木曜日 日曜・祝祭日

【電話番号】

0120−185−255
03−3981−1427

 

審美歯科

笑ったときの美しい口元や横顔はもちろん大切です。でも美しければ、それでいいのでしょうか?美しさと機能を兼ね備えたものが、真の審美歯科と考えています。美しさを長く保つためにお手入れや、定期検診(メインテナンス)にも心を配ります。

萩原歯科医院
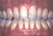
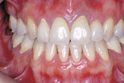
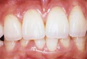
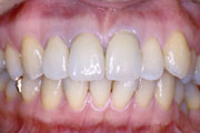
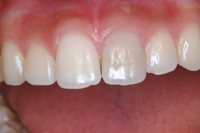
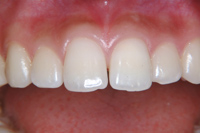
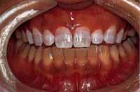
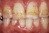
 ポーセレンラミネートベニア

健康な歯、あるいは虫歯がほとんどない歯で、表面 の形や変色でお困りの方に最適な方法です。歯の表面を薄く削り、他の歯との調和を考えながら製作した薄いセラミックシェルを強力に接着します。色調と形態の決定は写 真撮影のもと、患者さんと相談の上、希望を取り入れながら行います。 費用は1本105,000円(税込)です。

 

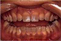
▼ポーセレンラミネートベニアの実例
(25才男性)

 

(32才女性)

 

 ホワイトクリーンアップ(クリーニング)

歯を白くするというよりも、本来の歯の白さを取り戻すための専門的なクリーニングです。 (変色してしまった歯を白くすることはできません。) 歯の表面 は、タバコのヤニ、茶シブなどで汚れてしまうことがあります。これは日常の歯ブラシでは落ちにくいものですし、安易にヤニ取り歯磨き剤でゴシゴシこすると、歯の表面 を傷つけてしまうことがあります。当院ではジェットポリッシャーという器械を使い炭酸水素ナトリウムの微粉末を噴射して歯の表面 の汚れを落とし、その後電動回転ブラシで細部の仕上げをします。 虫歯や歯周病の予防になりますので、美容院感覚で定期的に来院する方が多いようです。 クリーニング終了後さらに白い歯を希望する方には歯のホワイトニング(漂白)をおすすめしています。 ホワイトクリーンアップの時間は1回1時間、費用は1回6,300円(税込)です。

 

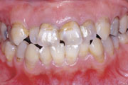
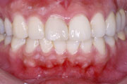
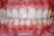
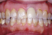
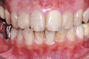
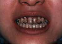
 セラミッククラウン

セラミックの冠をかぶせる方法です。自然の歯とほとんど見分けがつきません。 すでに装着した冠や詰め物の形態や色調に不都合が生じた方、あるいは大きな虫歯に適しています。 当院では常に最先端の安定したセラミックを使用しております。色調の確認のために写真撮影も行いながら、最高の技術を持った技工士により製作されます。 費用は1本135,000円(税込)です。

 

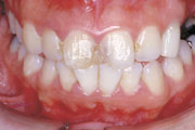
▼セラミッククラウンの実例

審美
審美
     
   
   
   
   
   

 

 

 ホワイトニング(歯の漂白)
自分の歯をより白くしたい方や変色歯でお悩みの方に適しています。 方法は、まず歯科医院にて自分の歯型に合わせてホワイトニング用のマウスピースを作り、その中にホワイトニングジェルを注入して就寝時のみ歯に装着します。通 常4〜8週間行いますが、効果には個人差があります。大多数の症例においては、効果 が確かめられていますが、変色の程度によってはホワイトニングだけでは難しく、ラミネートベニアなどの治療法が適している場合もあります。 費用はホワイトニング用マウスピースと2週間分の薬剤で63,000円(税込)です。

 

▼ホワイトニングの実例

 


     

【トップ】 | インプラント、矯正、審美の事なら東京の「萩原歯科医院」 |
【インプラント】 | インプラント治療について | インプラントとは | インプラント治療の成功 |
| 治療のQ&A、疑問 | インプラント治療の症例 | インプラントのメリット |
| インプラントの体験談インプラントの治療費
【入れ歯】 | 患者さんが満足できる入れ歯 | 入れ歯の価格・治療費| 部分入れ歯(部分義歯) | 総入れ歯(総義歯) |残された歯を守るために | 部分入れ歯で悩む原因 | 入れ歯の種類 || 入れ歯の症例
【大人の治療】 | 審美歯科| 虫歯治療の新しい考え方 | 健康を守り育てる診療所 |
| 予防プログラム | 定期健診(メンテナンス) | 歯周病治療
【子供の治療】 | 小児歯科| 虫歯治療の新しい考え方 | 健康を守り育てる診療所 |
| 子供の矯正治療 | 幼児・園児のための予防プログラム |
| 小学生のための予防プログラム | 子供の集中力を高める
【虫歯】 | 『虫歯治療の新しい考え方』池袋の萩原歯科医院 |
【各種治療費】 | インプラント・矯正・審美の治療費用について |
【萩原歯科医院の特徴】 | 萩原歯科医院内の様子 |