| |
 |
 |
 |
| |
| (1)ばねを用いた骨組みが金属の部分入れ歯 |
 |
残っている歯に精密に加工したばねをかけて部分入れ歯を安定させます。骨組みに金属を使用していますので変形がなく丈夫です。
  
保険適用の入れ歯(下図)に比べて、たわみが無く、残っている歯の保存のためにも、
このような材料が使われるべきでしょう。

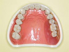
【保険適用の入れ歯(義歯)】
|
|
|
 |
 |
 |
|
 |
 |
 |
| |
| (2) ばねを用いない(ばねが見えない)部分入れ歯:コーヌス義歯 |
 |
いわゆるばねが全く見えない部分入れ歯です。
残っている歯に冠をかぶせ、部分入れ歯に連結した冠をその上から2重にかぶせて、摩擦力を利用して部分入れ歯が落ちないように工夫しています。
ドイツのドクター・ケルバーが考案した入れ歯です。

|
|
|
 |
 |
 |
|
 |
 |
 |
| |
| (3) ばねを用いない(ばねが見えない)部分入れ歯:精密アタッチメント義歯 |
 |
いわゆるばねが全く見えない入れ歯です。
残っている歯に特殊な連結装置を組み込んだ冠をかぶせ、あらかじめ連結装置を組み込んだ部分入れ歯と連結することで入れ歯の安定を図ります。
いろいろな連結装置が考案されています。
  
|
|
|
 |
 |
 |
|
 |
 |
 |
| |
| (4) 磁石を用いた入れ歯 |
 |
入れ歯に磁石を組み込んで、残っている歯と磁石の力でくっつき、お口の中にぴったりとおさまります。
残っている歯が少ない場合によく用います。

|
|
|
 |
 |
 |
|
 |
 |
 |
| |
| (5) 橋義歯(ブリッジ) |
 |
少なくなった残りの歯を橋義歯(ブリッジ)でつなげます。
固定式で取り外しはしません。
残された歯がブリッジをするのに必要な条件を満たしていれなければできません。

|
|
|
 |
 |
 |
|
 |
 |
 |
| |
| (6) インプラント義歯 |
 |
歯を失った顎に人工歯根(インプラント)を手術で埋めて、歯と全く同じ機能を取り戻すことができる治療法です。
見た目にも機能的にもご自分の歯とほとんど同じように使えます。
固定式で取り外しはしません。
最近、磁石を取り付けることができるインプラントが開発され、臨床応用が進んでいます。
この場合は取り外し式の入れ歯になります。


【注:歯肉部分は、分かりやすいように、わざと透明にしてあります。】
 |
|
|
 |
 |
 |
|
| |
| ▲ページTOPへ |