| 小児矯正治療は小学2〜3年生から始める1次治療と、永久歯が生えそろう中学生になって始める2次治療の2段階に分かれます。 |
| 1次治療 : |
主に取りはずし式の装置を用いて1〜2年ほどかけて土台の顎の形を含めて歯並びを修正します。
(半年〜約2年) |
|
|
| 経過観察期間 : |
装置を用いないで経過を観察する期間 (約2年〜3年) |
|
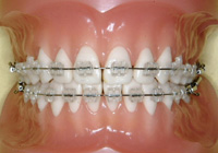
| 2次治療 : |
第2大臼歯まで生えそろうと治療を開始し、歯並びを含めかみ合わせを完成させます。(約1年) |
|
|
| 1次治療、2次治療ともに通院は、月1回です。経過観察期間は3ヶ月に1回です。中学受験などの時期に負担のないように装置を使う時期をうまくずらすこともできます。 |
 |
最近、治療期間が短いということを第1に、第1大臼歯までを並べて終わりにする、小児矯正治療の話を時々耳にします。
この方法なら、確かに小学生の間に矯正治療を終了することができ、負担も少なくて良いように感じるかもしれません。
しかし、最も重要な、かみ合わせのことを考えると、第2大臼歯まできちんとコントロールし終わって、初めて本当の意味での矯正治療は完成したと言えるのです。
かみ合わせの不具合から来る、全身のバランスの狂いの原因のひとつに、第2大臼歯のかみ合わせの悪さが報告されています。(→かみ合わせ治療)
最終的な治療の終了時期は、やや遅くなりますが、一生のお口の健康と全身の健康を考えると、私は、第2大臼歯まで生えそろってから、かみ合わせを含めた健康な歯並びをきちんと完成させることが何より大切であると思います。 |