歯の周りの骨や歯肉、唇や舌などの筋肉は、元の状態を憶えていますので、一度歯並びが治っても歯は必ず元の位置に戻ろうとします。
したがって後戻り防止装置(リテーナー)の使用が必須です。 |
|
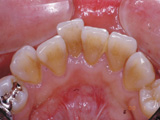
| 他院で矯正治療を受けられましたが、独断でリテーナーの使用を途中でやめてしまったため、歯並びが元に戻ってしまっている患者さんが時々来院されます。 |
 |
|
リテーナーは矯正治療終了後は24時間使用を1年間、その後は就寝時のみ2〜3年の使用で済みます。矯正治療成功の鍵はリテーナーが握っていると言っても過言ではありません。
矯正治療終了後は定期検診(メインテナンス)(→詳しくはこちら)を4〜6ヶ月ごとに受けていただき歯並びの後戻り防止、虫歯・歯周病予防を確実にし、「美しい口もとで、一生快適な食生活」を目指します。
科学的根拠に基いたメインテナンスでお口の健康を維持できることは、多くの研究で証明されています。 |
|