すべての歯が永久歯になった方のための矯正治療です。
中学生以上の方の歯並び治療です。
健康な歯や歯ぐきであれば、高齢の方でも治療は可能です。 |
すべての患者さんが「美しい口もとで、一生快適な食生活」を送れることを目標に
当院のすべての治療は、この目標に向かう通過点です。 |
 |
 |
 |
| |
|
虫歯、歯周病の問題を解決した上で矯正治療を行い、
矯正治療終了後、矯正治療では不可能な微妙なかみ合わせの調整をして、
全身とかみ合わせのバランスを整えます。(→かみ合わせ治療) |
|
|
|
|
 |
 |
 |
|
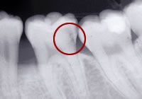
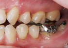
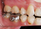
| 私が最も心を痛めているのは他院での矯正治療の結果、 |
|
| …このような患者さんが時々来院されることです。 |
・健康な歯
・健康な歯肉(歯周組織)
・全身とのバランスがとれたかみ合わせ(→かみ合わせ治療) |
| この3つがすべてそろうことで矯正治療は成立します。 |
| ▲ページTOPへ |