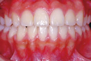
■一般矯正
銀色の矯正装置が目立つことで、遠慮される方もいらっしゃいましたが、最近は
白いセラミックの装置を使いますので随分と目立たなくなりました。
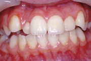
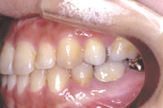
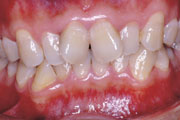
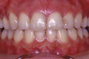
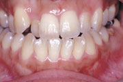
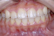
一般矯正の症例
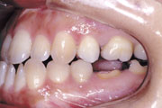
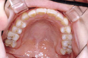
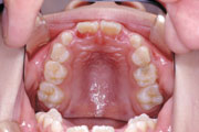
症例1:乱杭歯(叢生)
症例2:乱杭歯(叢生)
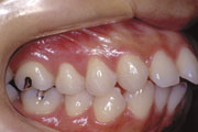
症例3:開咬(オープンバイト)
症例4:上顎前突
症例5:下顎前突(反対咬合)
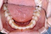
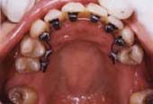
■歯の裏側矯正
歯の裏側に装置をつけますので、外からはまったく見えません。
最近は多くの方が希望される治療方法です。
「おかあさんやすめ、ははきとく」という言葉をご存知ですか。これは子供が好きな料理の頭文字を取って並べたものです。
「お」はオムレツ、「か」はカレー、以下アイスクリーム、サンドイッチ、ヤキソバ、スパゲッテイ、目玉 焼き、ハンバーグ、ハムエッグ、ギョウザ、トースト(ピザ)、クリームシチューとなり、良く噛まなくても飲み込むことのできる料理ばかりです。そしてレトルト食品、インスタント食品、スナック菓子、ハンバーガーなどのファーストフード等、噛まなくてもすむ食品が日本中にあふれています。
そのため、顎を使わなくなり、貧弱な顎になってしまいます。そこで最近注目されているのが、「歯列育形成」という、歯を抜かないできれいな歯並びにする方法です。出来上がってしまったものを無理矢理動かすのではなく、永久歯がきれいに生えそろうように乳歯のうちに歯を整えておくことです。
「歯列育形成は、乳歯が生えそろった3歳頃から始めるのが理想です。その後の成長量 も多いので、将来的に良い形態に成長するよう方向づけることが
出来るからです。」(島田朝春博士)「低年齢から良い歯並びの条件を整えると、優れた精神発達 が期待出来る。」(日本歯科大学 萩原和彦教授)などすばらしい効果が現在注目されています。
また、矯正することで、舌房(舌の置き場所)が広くなり、集中力が高まるという報告もされています。(各務 肇博士)
| 私たちが、単に歯並びを治すだけでなく、食事指導や舌や口唇の訓練までお話するわけは、一人一人のお子様が持っている本来の成長する力を阻むものを1つでも多く取り除くお手伝いがしたいからです。 |
|