表紙に戻る
<その45〜59>へ<その31〜44>へ<その20〜30>へ<その11〜19>へ<その1〜10>へ


その70 骨と鮎          ('01/10/23)

 先週のKIKI Band のツアー、ご来場ありがとうさんでした。またしても台風が来ておったが被害
には遭わず、梅津氏の令息から借りた高級大型車で快適な旅だった。思えばかつてドクトル梅津バ
ンドの長旅にハイエースで梅津宅を出発する折り、奥さんに抱かれてギャアギャア泣いていたあの
ガキンチョが立派に成長して家庭を持ち彼から車を借りるとは、時代は変わるものである。しかし
俺達のやっていることはちっとも変わらんのだな。しみじみ。

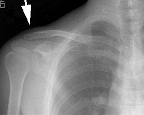
 旅帰りの翌日、骨折45日目、またまた某病院に夜潜入、飯塚選手の診察。良好の模様。

上部の方が形成が遅いが
大分骨が出来てきた。

 旅の最中、大学の時の友人で高知在住のM女史よりかの地の物部川の天然落ち鮎が送られてきてい
た。新座組にもお裾分けしようと連絡したら単に仕事のついでに届けるつもりだったのに向こうは手
みやげを持って飲みに来るものと疑わず、結局昨日22日雨のなか電車で出掛けた。会長が七輪を持
ってきて早じまいを決め込んだ玉川サイクル店頭軒先で30分以上かけてじっくり焼き頭も骨も丸ご
と食す。さすがグルメの会長の手際もあり、実に旨い。こんな立派な鮎は見たことないし味も格別。
苔の香りがいい。会長曰く「指の臭い嗅いでみな。いい匂いだろ?こんな魚は鮎以外にはないんだ。
」ふ〜ん、なるほど。二回焼いたので一時間以上、その間ビールと焼酎の中瓶を空け一段落してから
ひばりヶ丘に出掛けた。タマさんの自転車の後ろ、いいオトナが傘さして二人乗りで会長と二台で繰
り出しラーメン屋でべろべろに拍車をかけた。気が付くと揺り起こされてタマさんに駅まで送られる。
会長は反対の方に見る見る走り去ってしまった。店を出てからの記憶は無かったそうである。乗った
電車は幸い小手指止まり、「車庫に入りますよ」と起こされて飯能まで行かずに済んだ。
   


雨のなか薫りを嗅ぐタマさんとオレ

 


             <会長撮影>


 その69 取材二種+α          ('01/10/15)

 本日、光栄なことにサイクル・スポーツ誌の取材を受けた。トライアスリートとして高名な井上
ゆきえ氏の執筆しておられる「元気印の市民ライダー」という連載コーナーである。井上女史は吾
輩が99年に一度だけ出場した「高尾〜糸魚川ファストラン」で吾輩より二時間も速い11時間台
の記録を持っておられるので某ファミレスでひれ伏しつつ取材を受けた。逆にこちらの方がために
なるお話を伺うことが出来、有意義であった。「男のひとって競争心や見栄でオーバーペースにな
って後半脱落して行くのよねえ」、はっはー、仰せの通りでございます。
 骨折の真っ最中の先月22日にはベースマガジンの取材、「My Dear Bass」という愛器紹介コ
ーナーであった。勿論Ibanez MC-924 である。実はワタシは繊細であるのに大ざっぱである。
ネックやボディの材について訊かれたのだがなんにも知らないことに気が付いた。思い起こせば、
15,6本持っているエレキベースでボディ材について知っているのはWarwick のブビンガくら
いなもの。ネックに関しては大体分かっているものの、これではこだわり派の名が・・・?そこで
ネットで検索してみたところ80年頃は表と裏がアッシュ、中がマホガニーという三層構造である
ことが分かった。その旨編集部に連絡したのだが、先方もメーカーに問い合わせたところ同様の返
事だったが早川さんのは違うのでは、ということだった。なるほど、俺の楽器はどこから見ても一
枚板である。フレットレスの方は判別しづらかったが内蔵バッテリーのケースをはずして内部のザ
グリをみたら裏側の表面から3mm程で材が変わっているのが分かった。預かり物のやはり80年
のパールホワイトのモデルも同様だった。ってことは俺のはピックアップだけでなくボディもプロ
トタイプだったらしい。どうも他の924より重いと思っていたんだ。もう二度と手に入らないのか。
大事にしなきゃ。

 基本的に政治問題にはノータッチであるつもりの我がHPであるが、このところの問題について
は二,三言ってしまいましょう。とにかくテロ行為は許せないが、しかし。
 湾岸でも散々誤爆や一般市民を殺傷したアメリカ、その後もどこぞの中国大使館を誤爆したり、
自国大統領暗殺を計画したらしいという理由だけで実害無しなのに他国(イラク)を攻撃したりと
、見方によっては正義をかかげてデタラメを繰り返している国家だ。今回の空爆でも案の定、貧し
い一般人が散々の目に合っているのに「作戦は成功」とほざいている。そもそも上層部連中は自国
民以外の有色人種を無意識に人間と思っていないのではないか。アフガンの荒廃の一端は反共産主
義の代理戦争。ベトナムでの残虐行為を白人国家との戦争でやるとは思えないし沖縄で事件を起こ
した兵士にも目をつぶる。しかし我が国の政治家はアメリカが一番大事と公言している。当のアメ
リカは、たとえば円高で1$80円台に突入して日本政府が泣きついた時に「(軍事拠点として以
外)日本がどうなろうと知ったこっちゃない」と突っぱねた。それなのに、まだアメリカの方針が
決まって無いうちからコイズミは追従宣言。アメリカがアフガニスタン以外の国への攻撃をほのめ
かした際も同様だった。不正確かもしれないがオレの知る範囲では、他の国々がそれに批判的であ
るとなると慌てて「慎重に判断」に変わった。ああ情けない。といって替わりうる人間もいないの
だろう。


 その68          ('01/10/10)

 10月8日、HAYAKAWA live at Club251。5バンドで持ち時間は各々30分という慌ただし
いものだった。4曲を演奏、通常では50分位になるから数日前のリハーサルではいかに短く凝縮
するかということがテーマ。
 1.900ton 2.バリタコ 3.PugBug 4.294
 1、4はある程度の長さを想定、2と3はかなりコンパクトにしてなんとか5分オーバーで済ん
だ。普段は放っておくとどの曲も一様に12,3分になってしまうので長短の変化をつけるのは新
鮮。勿論いつも心がけてはいるんだけどね。今回参加出来ない筈だった植村も横浜のライブを済ま
せてから駆け付けてくれたしメンバー皆バキバキのプレイであった。

ステージ上で準備中、植村撮影。

The Air Heads、タコライス、
ElephantMorningCall、HAYAKAWA、割礼 
という順で、割礼とウチを除いて皆ワカワカ
しくシャウト、飛びはねバンド。飛ぶのには
自信があったがまだ鎖骨にひびきそうなので
やめておいた。かわりにアンプのツマミを右
に回すだけで勘弁してやった。ワカモノ組の
なかでは Elephant〜が好みだったな。割礼
はトリオ編成の役割分担を超越した面を多々
見せてくれてさすがのディープさだった。

 さて次回は HAYAKAWA 初出演の西荻 BinSpark。新曲もとっとと仕上げなければ。


 その67 骨折その後-2         ('01/9/29)

 9月27日、丁度事故から3週間久々に病院に行った。レントゲンを見て、ペコちゃんに似た若
い女医は「幸運なことに真っ直ぐ付き始めています。普通だったら上にずれるので手術するんです
けど。」と意外そうに言う。これで一安心。接骨飯塚君の指導のもとテーピングで固めていたこと
はヒミツである。勿論診察には剥がしてテープの跡もアルコールで拭いていったがレントゲンしか
見られなかった。翌日は事故後始めて自転車に乗った。マルイシのロードでハンドル高を高くセッ

ト、しかしそれでもかなり前傾であるが。
ちょっと危なっかしいが雑用に4km程。
夕方固定ローラーを30分やり、夜は当直
のDr.飯塚の診察を受けに某病院に潜入。
恒例のレントゲン写真のお土産と「安定し
てます。あと一週間テープとベルトで固定
してからリハビリですね。固定ローラーな
らもう始めていいですよ。」というお言葉
を頂く。翌・本日も午前中10km軽く乗
ってしまった。ホントは普段は三角巾で吊
っておくようにと言われているんだけど。
これを書き終わったらローラーするぞ。

 

 

<不便なことベスト5>
1:二週間以上食事に右手が使えなかった。どうも左手で食べていると味わう余裕がない。
2:車の運転。右はハンドルに添えるだけなので細かい右左折がやっかい。
3:腕が上がらないのでTシャツが着られない。家では右側を裂いたものを着用、すそで縛ったり
  横をガムテープで留めたりしてかなりみすぼらしい。ボタンでゆったり気味のシャツを多数購入。
4:楽器を弾くときに自分でストラップを肩から回せない。
5:当然であるが重いものが持てない。

 世の中色々なものが右利き用に出来ているということを随所で痛感。


 その66 骨折その後         ('01/9/21)

 さすがにワタシの通常の奏法では痛みが走る。しかしそうも言ってられん、本番となれば。もら
っているが日頃は飲んでいない痛み止めをライブ開演前に服用して乗り切っている。一晩に数回、
瞬間的な鋭い痛みに手が止まってしまって音が途切れてしまうことがあるが周囲には気付かれずに
済んでいる。ひどい奴は「ホントに骨折してんの?荷物持ってもらおうって魂胆じゃない?」など
とほざく。それだけ普段と変わらぬ演奏が出来ているっちゅうことである。

 手術すると退院が11日になるというので取り止めたというのに、11日の名古屋<COIL at
トクゾー>は何と台風に行く手を阻まれ中止。前日から高速道の通行止め区間があることは分かっ
ていたが報道や公団の道路情報は全く道路利用者の立場に立っていないということを思い知った。
ニュースも道路情報も例えば東名なら「下りは大井松田・沼津間通行止め」としか言わない。当然
その区間のみ国道に降ろされて渋滞はするもののそこまでは走れると思う。ところがどっこい、俺
の車で調布の鬼怒宅を出発して川崎インターから入ろうとしたら入り口閉鎖。ここでは「横浜方面
には一般道で」としか言われない。で、国道246号を行くと渋滞が始まりノロノロたどり着いた
横浜インターも閉鎖、国道の電光版には「山北町通行止め」と出ている。山北というのは大井松田
のすぐ先で、即ち高速も国道も通れないということだ。ここから我が人生最大の大渋滞が始まる。
我々は車載テレビ(ずっと台風関係報道)とラジオと道路公団の電話サービスで情報を収集しよう
とするが、全て大井松田・沼津間通行止め以上のことは言わない。国道が通れないことも開通見込
みに関しても何も知ることができない。厚木から小田原〜熱海峠で三島、沼津にぬけられるかも知
れないという案も出るが厚木にたどり着かないのである。いや、昼頃から厚木市内に入ってはいた
のだがほんの数キロ先の分岐点にたどり着けないのだ。車を捨て新幹線に乗るにしてもどこにも行
けない。動かぬまま3時半頃ようやく「4時に開通予定」とラジオで知る。しかし果たして4時を
過ぎても一向に進まない。4時半になると今度は「東名沼津から渋滞50km」なんて情報。よう
やくインターの1km手前まで来ていたのだが断念、小田原厚木道路に入るがこれもしばらく先で
通行止め、一般道から秦野中井インターでようやく渋滞の東名に割り込む。途中何度も名古屋に電
話を入れ、<開演遅らせ>〜<大幅遅れ・チャージ半額>〜<涙の中止・お詫びに会場に来た方々に
後日ライブ録音のCD-Rをお送りする>という展開になった。トクゾーにようやく着いたのは10時
25分。残っていたお客さんに拍手で迎えられるがオーナーの森田氏が事務所から出てきて「えらい
こっちゃ!!」とアメリカのテロ報道を伝える。台風や骨折どころではない。散々な日だった。

 報復攻撃には反対だ。無関係な人間が多数犠牲になるのは明らかであるしアフガンの土地は人間だ
けの物ではない。新たなテロ行動も呼ぶだろう。


 その65 久々に飛ぶ        ('01/9/9)

 9月6日午後、多摩湖で周回トレーニング中、脇道から飛び出してきた小学生のMTBを回避して
宙を飛び右肩・頭から落ち前転して腰を強打。フロント・フォークが折れヘルメットは割れた。相
手は何があったのかも分からずポカーン。救急車で東大和病院に運ばれ、右鎖骨骨折と診断される。
治療を受けつつ、練習用のバイクだったので次のフレームは何にしようか、等とアホな事をもう考
えていたが(実際は被害はフランスTIME社製カーボンフォークのみだった)、夜家に帰ってベッド
に入ると痛みでそうそう眠れない。手術した方が良いと説明され自分もその気だったが、今ならな
んとか楽器は弾けそうでも手術したらどうなるのか、11日からのCOILのツアーに間に合うか等心
配事が浮かんでくる。朝メールを見ると鎖骨先輩のタマさんから「医者が何て言おうと手術した方
がよい。ギブスではなく包帯と鎖骨ベルトで湖底でしょう(多摩湖なだけにこんな場合だけど一寸
引っかけさせてもらいました)。手を抜けばライブも可能ですよ。パン吉くんの場合右手で良かっ
たかもね。多分ネックを上下させる左手だったらその方がきついんじゃないかな。時期も暑からず
寒からずでタイムリーでした。川場(*エントリーしていた8,9日のレース)はダメになっちゃた
し飲みにおいでよ。会長とオレでおごるよ。」。これで明るい気分で病院へ。しかし説明を聞くと
前日入院・全身麻酔・術後点滴などで5日必要と言われる。そりゃああと3週間無理だ。タマさん
は局部麻酔で一泊って言ってたのに。相談の結果手術は延期、途中経過を見てくっつきそうだった
らこのまま固定ベルトで通すということになった。

 気を取り直して翌8日夜、いぬふぐり・接骨飯塚(カオス飯塚と区別する為の通称)ことDr.飯塚
の当直する某整形外科病院に潜入、特別診察を受ける。その結果骨のズレが少なく靱帯の損傷も無
い模様なので手術必要無し、ベルトに加えテーピングでしっかり固定しておけば更に安心というこ
とだった。上から体重をかけられて悲鳴をこらえて3本のテープ。「問題はツアー中のテーピング
ですね、マジックで印付けときますけど。」、う〜ん、鬼怒に頼んだら加減しすぎるかムチャクチ
ャ痛くされるか両極端そうだもんな。兎に角若いながらも実戦経験豊富なDr.飯塚の診断に一安心だ。
諦めていた来月末の秩父のヒルクライム・レースも「出たほうがいいですよ!」と元気付けられて
レントゲン写真とそのCD-Rを土産にホガラカに帰った。しかし今は打撲の腰の方が酷い痛みで椅
子の立ち座り、寝たり起きたりが激痛でままならない。ツアーではせいぜい可哀想な感じにしてい
たわってもらおう。



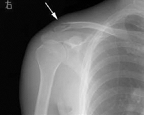
あざがなかなか広い



なんだか討ち入りのタスキがけ

 


矢印が骨折箇所

 


テーピングでズレを押さえた状態

 


 その64 新顔ベース       ('01/8/30)

 8月某日、The 3 Peace のベーシスト、永野かおりちゃんがGibson の1969年製 Triumph
RecordingBass をライブ先に持ってきてくれた。レス・ポール型の小振りなボディ、弦長も通常
使っているロング・スケールではなくショート・スケール。昨年雑誌で彼女がインタビューのつい
でに売りたいなんて言っているのを見て気になっていたのだが結局愛着があって売る気がなくなっ
ていたそうだ。「最も愛するベースを最も尊敬するベーシストの元に里子に」などという気恥ずか
しいお言葉をいただき(ま、俺の酔っ払った有様を見たことないからな)使わせてもらうことにな
った。「大好きだけど自分には弾きにくくてあまり使えない」ということだったし、小さめのサイ
ズが俺のようなチカラまかせの弾き方に応えられるか、という危惧があったが、これがどうしてナ
カナカ。たしかに俺にとってはギターっぽくて手応えが足りないのだがよく鳴る。出力は大きくな
いが歪み気味の太い音だ。普段弾いている楽器は弦長 860mm以上、特にGoodfellowの5弦なん
てスーパー・ロング・スケールで895mmなので、このショートスケール780mmは相当小さく感
じる。左手なんてすごく楽。しかし考えて見れば身長や手の大きさから言ったら、え〜と、身長
167で78cmとすると、86cmだと身長が184.12820513cmということか。つまり184cmのやつ
が普通のベースを弾いている感覚だ。そうか、デカい奴らは随分気楽に弾いていやがるんだな、俺
がパターン・キープで左指が開ききってつりそうになっているような曲でも。う〜ん。中間のミデ
ィアム・スケールだと820mmだからこれを俺が弾くと167ワル82カケル86=175 、ナルホド、
これくらいが妥当なところか。なんてもう全然あんたらにはどーでもいいハナシだね。

早速Coil や KIKI Band プログレ・セッ
ションで数曲使用した。古いギブソン&
ショートというとモデルは違うがやっぱ
りクリーム時代のジャック・ブルースを
イメージしてしまうせいか、Coil の中
でも荒っぽいブルースロック・タイプの
曲で本領発揮。

プログレ・セッションでも古いクリムゾンの曲やGONG のカバーなどで歪んだ低音がマッチして痛
快だった。使い方は限定されるが実に面白い。

 ところで、The 3 Peace はその名の通り3人組。 g,vo:原広明-ex.キングビーズ、d:梶原徹也-
ex.ブルーハーツ、b:永野かおり-ex.メスカリン・ドライブ、ソウルフラワー・ユニオン というメンツだ。去
年の1stCDでも俺は彼女のブッとくうねるベースに少なからずショックを、と言うかアセリを覚え
たんだが、この7月にセカンド<RADICAL LOVE RHYME>をリリース、これがまたいいんだ、
ベースが。いや、バンドもアルバムもいいんだけど。MusicManをよく使っているようなのだが、
あれ特有の硬質でうねらない音と全く違うのが不思議だったので彼女からイコライジングやエフェ
クターの内容を聞き出して、我ながら自分の単純さにあきれつつ久しぶりに自分のMusicMan5弦
を引っ張りだしてマネしてみたんだが2、3回使ってやっぱり挫折した。


 その63マレーシア その3       ('01/8/17)

 29日は午後からイブリンの案内で彼女のいう「ジャングル」へドライブ。行ってみると渓流に沿
った森林公園だったが確かに木々はジャングルである。水遊び(といっても冷水浴)後途中の路肩で
買ったドリアンを満喫。そこから近くの山の上に住むイブリンの友人の初老の婦人を訪ねた。こんな
ところで数日ごろごろ出来たらなあ。帰りに彼女と息子さんも一緒にイブリン大推薦の山の中の大き
い中華食堂で夕食。鯛のような魚の唐揚げ、鹿肉、猪カレー、バンブーシェル(馬刀貝)、エビチリ、
青菜(ツルムラサキ?)等。豪華・美味であった。これから演奏なんて信じられない。


露天風呂ではないのだ。イブリンと私
/梅撮影。


   山荘の居間。テーブルにミシン。

 

    来客用の別棟

 

 

 

 最後の演奏は初日のインド伝統2人組も加わりつつがなく終わったと言いたいところだが、ちょっ
と収拾つかずの感あり。しかし兎に角無事終了、反省は次回への糧としよう。ということで飲んだく
れる。5時頃数人でお粥を食べに行くがもう最後の客で、食べ終わってもウダウダしていたら箒を持
った爺さんに<Go Home!>と追い立てられた。気持ちはワカル。

 30日帰国前に韓国焼き肉レストランにて夕食。ライブ皆勤の、プールのTチャンも仕事後駆け付
けてくれ、肉も冷麺も当然うまい。あ〜、シアワセなマレーシア食生活であったがこれでお別れ、幻
になって行くのだ。西野さんとTさんに見送られて23時出発。機内食?今さら俺様にこんなもんが
食えるか!!あ、梅津さんそのデザート食べないんだったら俺もらっていい?

 


 その62 マレーシア その2       ('01/8/10)

 27日昼は「肉骨茶」なる料理の専門食堂へ繰り出す。観光バスで中国人団体客が押しかけるほど
繁盛。骨付き豚の鍋料理でその名のごとくお茶のスープ。えのき、白菜、油揚げ、湯葉がはいる。飯
にぶっかけて食す。夜はライブ前に店でステーキとサラダ。


 食ばかりでなく演奏にも一応触れるべきか。スタートは10時半、何もなけりゃ早寝の俺は寝てしま
うところだ。まあまあの入りの中、梅津、ルイスと3人でスタート、3曲やって若いピアニストのユー
ジンを入れて1曲。彼は純粋のマレー人らしい。ルイスは何でもこなすハイテクニック・タイプでイン
ド伝統音楽でも師匠格だそうだ。ユージンは比較的オーソドックスなアプローチからバクハツして肘打
ちまで行くやつ。曲は梅津、俺、鬼怒のもの。ここで休憩、そして一緒にやろうという話はあったもの
の何も打ち合わせをしない内にインド人の2名・チャルメラのでかい奴と両面太鼓が突如ビャ〜、ドン
カラカッタドカドカと演奏を始め、ゾロゾロと梅津、ルイス、俺が加わる。これはなかなか面白かった。
そのまま2ステージ目ということになりインドの2人が下りたあとユージンが加わりカルテット、さら
に2曲マサト君のギターが加わった。セッションということで各曲の方向はバラバラ気味だったが熱演
ではあった。ということで2時近くに終わってそのまま飲み始める。そのあげくこちらで仕事をしてい
る日本人女性T嬢と彼女の友人でシンガポールで就職活動中のS嬢と共に泳ぎに行こうと盛り上がり、
T嬢の豪華コンドミニアムのプールにドボン、都会のリゾートを味わった。夜は明け、部屋でビール+
トマトジュース(一応朝だからな)をいただきしばし休んでから爽やかに辞したのであるがエレベータ
ーを下りて気が付いた。俺はタクシー代を持っていなかったのである。おやすみ態勢のレディのところ
に戻って借金を申し込むのも気が引けるし第一この巨大コンドミニアムのどこから自分が出てきたかも
もう分からない。で、確かあっちの方にホテルの近くのタワーが見えたな、と見当を付けて歩き始める。
結局50分位歩いたが朝の商店や屋台の準備作業でゴチャゴチャした街は面白かった。

 28日昼、即ちその朝帰り後のこと、昼飯にホテル周辺を単独徘徊。結局路地に小さい屋台が20軒
ばかり集まっているところを見つけインド人の店を選ぶ。サフランライスにマトン・カレーとインゲン
を盛り合わせてミネラルウオーターとで200円位。これもウマかった。夜は西野さんのサイドビジネ
スの一つである和風ラーメン店「ラーメン大王」。彼が料理マニアなので材料、調理にうるさく当然う
まい。麺もスープもなかなか、餃子もレバニラもバッチリであった。
 夜の演奏、インド伝統2人組は抜きでおおむね昨晩の内容。観客は大入りで立ち見(まあ大きい店で
はないけれど)、当然こちらにも熱気が伝わり大盛り上がりである。周辺国・地方にコネクションのあ
る人達も喜んでくれ、KIKI Band でアジア・ツアーをという声が高まり(ホント?)、バンド・プロモ
ーションという今回の目的の一つに自分が貢献出来たようなので幾分満足。梅津さん一人じゃ役不足な
んてモチロン思いもよらないんだけど(だったら書くな)。さすがにこの夜は泳がずにおとなしくホテ
ルに帰った。


 その61 マレーシア その1       ('01/8/04)

 7月25日朝、梅津車に乗り込み大渋滞の高速で周りを罵りつつ成田へ向かう。12時50分発、
クアラルンプールに7時間の旅。前夜シャイのライブから帰ってから旅支度を始めたので余り寝てお
らず、ビールを飲んで眠りこけているうち到着。現地の
実業家、西野徹氏の出迎えを受け車で1時
間の市内へ。西野さんは81年、作ったばかりのどくとる梅津バンドのコンサートを山形県寒河江市
で行った際の仕掛け人グループの一人でそれ以来だから20年振り。あれから海外青年協力隊かな、
で世界を舞台にご活躍、現在はクアラルンプールに居を構え、手広く事業を展開しておられるのであ
るがワシラのような音楽をアジアに広めようということでご招待頂いた次第である。日本で梅津さん
に訊いても、「何処で演るの?」「よく分かんない」「誰と演るんだっけ?」「え〜と、名前忘れた」
「ライブは何回?」「シンガポールがダメになったそうだから2回ぐらいかな。3回?」というアホ
みたいな会話だったのだがようやくはっきりした。26日リハ、27〜29の3日間ここの
No BlacK
Tie
というライブハウスで演奏するのである。まずホテルにチェックイン。入国書類の滞在先記入欄
に「ほんとに泊まるかどうか分からないけどConcorde Hotelって書くように言われている」と梅津さ
んに指示され書き込んだがまさそのコンコルド・ホテルである。良かったあ。荷物を入れて早速メシ
だ。前日から来ている西野さんの後輩で青森・上北町でライブハウスを経営するブルースギタリスト、
マサト&ジュンコ夫妻と共に案内されたのはシンガポールでもよく行ったタイプの中華食堂。歩道に並
べられたテーブルでチャーハン、青菜、手羽スモーク(これがこの店のスペシャル)、カニ・チリなど。
うめえ〜。食後
No Black Tie に行きオーナーのイブリンの歓待を受ける。一緒に演るドラマーの
ルイスもやってくる。イブリンは中国系、ルイスはインド系、店のスタッフもインド、ミャンマーと色
々な人達がいる。お客も当然。店に西野さんのフレットレス・ベースがあったのでセッションになった。

手羽スモーク

カニ唐辛子

カイラン


 
猫も辛いのが平気なのか?

 26日、朝食はホテルのバイキング。ヨーロッパ・スタイルのものや中華粥よりついつい4種もある
カレーに手が出て朝から汗をかいてしまった。昼食は西野さんがやってきてホテル内の中華レストラン
で飲茶。これがまたウマイ。ワシラにはちょっと上品。晩飯は夕方からのリハーサル後そのまま
NoBlackTie で豪華テイクアウト大会。イカの激辛トウガラシ炒め、タンドリ・チキン、マトンカレー、
アジの唐揚げ、フィッシュヘッド・カレー、ヤキトリ。

タンドリ・チキン
マトン・カレー



こちらをにらむ巨大魚頭カレー

 さあ、明日は何が食えるか!?


 その60                  ('01/7/18)

 7月8日、新生HAYAKAWAのライブ、アケタの店。通常自分のバンドのライブ当日は気が重いのだ
がいつになく気楽なカンジ。新加入のギタリスト増田君がしっかり曲を覚えてくれているからか、はた
また朝っぱら多摩湖でカオスのメンバーを待ち伏せ、峠の手前まで一緒に走ってきたのが良かったのか、
前日夜西荻のスタジオでさねよしいさ子嬢のリハがあった為ついでに機材一式を昨夜のうちにアケタに
搬入しておき家から自転車で来たので無自覚に疲れて余計な力が抜けていたのか。2回目となる増田君
は曲にも慣れ刺激的な面を出してくれ、皆もいい演奏であった。<楽器部屋>で紹介したのがきっかけ
で最近ちょくちょくMC924フレットレスを引っ張りだしているのだがこの日も2曲使用、いい音だった
という意見。アンケートも好評、遠方・愛知から来てくれたKさんは「見逃さなくて良かった、一生後
悔するところでした」とまで書いてくれた。オーシ、ぐわんばるぞ!!と思うが次の予定はまだない。
期待をどんどん膨らませておいてくれ。というと期待外れだと不満増大?

 昨夜17日はこれまた新生のCOILのライブ、吉祥寺マンダラ-2。朝8時前からトレーニングに出た
があまりの暑さに理性的に早めに切り上げて帰宅、1時間15分。しかしその後はあまりリセイテキで
なく昨晩のツール・ド・フランス第9ステージの録画を見ながら(迷ったんだけど)ビール、まあ3時
に家を出ればいいから充分昼寝出来る。なんてことをして4時にマンダラに入る。鬼怒が昨日の夜中作
ってきた新曲2つを中心にリハ、その後台湾料理屋でメシ、7時半すぎから本番。本日事情により店の
アンプYAMAHAを使用。こいつがヴォリューム3までしか上げないのに強く弾くとベリベリに割れた
音になってしまう。ヒジョーに困った。COILではDチューニング(4弦をEからDに下げる)の曲が多
いのでそれ用にMC-824改を持ってきた。924の廉価版パッシブ・ピックアップ・モデルで指板も924
のエボニーに対してローズ・ウッド。これにバルトリーニ製プリアンプとアクティブ・ピックアップを
組み込んだものだ。これのほうがこのアンプではきれいな音が出る。ま、きれいでも困るんだがいつもの
MC-924改では楽器に対してアンプが完全にパワー負け。25日からのマレーシアでどんなアンプがあ
るのか分からないから824の方が924より色々対応出来て安全かも知れないという思いがあってその前
哨戦としても使ってみたかったのだ。その意味ではいいテストにはなったがやはりアクティブ回路って
小さく弾いてもでかく弾いても同じ表情なんだな。というより強く弾くのに向いていない、すなわち俺
には向いていないわけだ。こういう点で昨夜不満を感じた方がいたらお詫びしちゃう。ここまで書いて
いたら鬼怒から電話、「昨日のテープ、良かったっすよ。いやー、田中君(新ドラマー)いい!音もグ
ルーブも。バンドも良かった。」と絶賛。絶賛と言えば9日のCO2のライブを見にきていた鬼怒は「ほ
んといいバンドだねえ」と絶賛していたがこの日は当の片山は4日のD.U.B.を「解散してから一番面白
い演奏だった」と絶賛。87年に解散したのに年1回はやっているのだ。で、梅津氏は12日の俺との
デュオで「ダメだあ、全然ウッド弾けねえや」(実は今年はウッドはレコーディング2回、ライブ3回
しか弾いていない)と弱音を吐いた俺を「そう?さすがいい音だなあと思ったけど。」と絶賛(とは言
えない、慰めか)。そんなワケで皆さん身内絶賛回転中です。おそまつでした。